بهترین متخصص درمان التهاب لثه در مشهد کیست؟

بهترین متخصص درمان التهاب لثه در مشهد کیست؟

وقتی صحبت از سلامت دهان و دندان می‌شود، اغلب افراد تنها به ظاهر دندان‌ها توجه دارند؛ در حالی که لثه‌ها نیز نقش بسیار مهمی در سلامت کلی دهان ایفا می‌کنند. یکی از مشکلات شایع لثه که بسیاری از افراد در سنین مختلف با آن مواجه می‌شوند، التهاب لثه است. این مشکل در مراحل اولیه چندان دردناک یا آزاردهنده نیست، اما در صورت بی‌توجهی می‌تواند به بیماری‌های پیشرفته‌تر لثه و حتی از دست دادن دندان‌ها منجر شود.

در سال‌های اخیر، مراجعه بیماران برای درمان التهاب لثه در مشهد رشد چشمگیری داشته است و انتخاب یک متخصص باتجربه و ماهر در این زمینه اهمیت فراوانی پیدا کرده است. در این میان، دکتر احسان کریمی به عنوان یکی از دندانپزشکان باسابقه و مورد اعتماد در مشهد، توانسته نقش مهمی در ارائه خدمات تخصصی درمان بیماری‌های لثه ایفا کند.

اهمیت تشخیص و درمان به موقع التهاب لثه

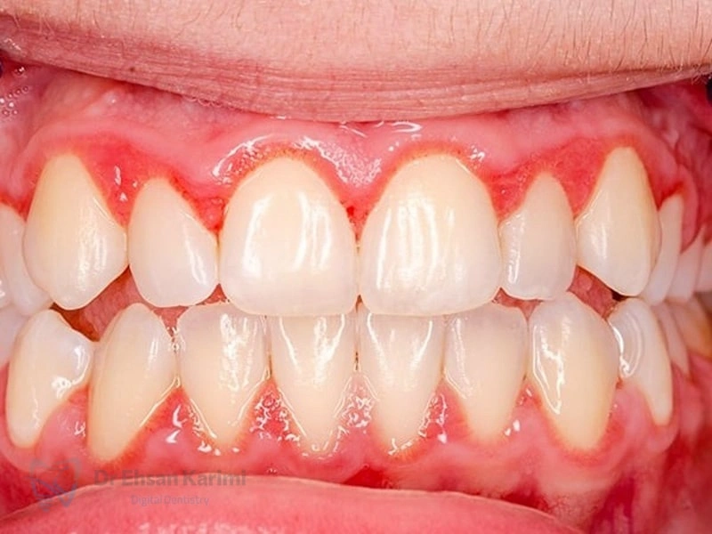
التهاب لثه معمولاً با نشانه‌هایی مانند قرمزی، تورم، حساسیت هنگام مسواک زدن، خونریزی و بوی بد دهان همراه است. بسیاری از بیماران در مراحل اولیه به دلیل نبود درد شدید، این علائم را نادیده می‌گیرند؛ اما التهاب لثه یک هشدار جدی محسوب می‌شود که در صورت بی‌توجهی می‌تواند به آسیب‌های جدی‌تری منجر شود. درمان به موقع نه‌تنها باعث بازگشت سلامت لثه‌ها می‌شود، بلکه از تحلیل استخوان و عفونت‌های شدیدتر نیز پیشگیری می‌کند.

تشخیص دقیق علت التهاب لثه اولین و مهم‌ترین مرحله درمان است. گاهی این التهاب به دلیل بهداشت نامناسب دهان و دندان ایجاد می‌شود، اما در بسیاری از موارد عوامل دیگری مانند بیماری‌های سیستمیک (دیابت، تغییرات هورمونی، ضعف سیستم ایمنی)، مصرف برخی داروها یا حتی ترمیم‌های ناصحیح دندانی نقش دارند. متخصصان باتجربه با معاینه کامل، عکس‌برداری و بررسی دقیق سابقه بیمار می‌توانند منشأ اصلی التهاب را شناسایی و درمان مؤثر را برنامه‌ریزی کنند. در مشهد نیز با توجه به رشد امکانات درمانی و حضور پزشکان متخصص، امکان تشخیص و درمان التهاب لثه در مشهد با دقت و کیفیت بالا فراهم است.

علل شایع التهاب لثه

شناخت علل بروز التهاب لثه به بیماران کمک می‌کند تا در آینده از بروز مجدد آن پیشگیری کنند. یکی از شایع‌ترین علل، تجمع پلاک و جرم در اطراف دندان‌هاست. پلاک‌ها حاوی باکتری‌هایی هستند که در صورت عدم پاک‌سازی منظم، باعث تحریک بافت لثه می‌شوند. با گذشت زمان، این پلاک‌ها به جرم سخت تبدیل می‌شوند که تنها از طریق جرم‌گیری حرفه‌ای توسط دندانپزشک قابل حذف هستند.

بهترین متخصص درمان التهاب لثه در مشهد کیست؟

عامل دیگر، تغییرات هورمونی است. در دوران بارداری، بلوغ یا یائسگی، سطح هورمون‌ها تغییر می‌کند و لثه‌ها حساس‌تر می‌شوند. در چنین شرایطی احتمال التهاب افزایش می‌یابد. همچنین بیماری‌های زمینه‌ای مانند دیابت کنترل‌نشده، سیستم ایمنی ضعیف، یا مصرف داروهایی که موجب خشکی دهان می‌شوند، می‌توانند زمینه‌ساز التهاب لثه باشند. ترمیم‌های نامناسب، پروتزهای غیراستاندارد و پرکردگی‌هایی که باعث تجمع مواد غذایی می‌شوند نیز از دیگر عوامل مؤثرند. با شناسایی دقیق این موارد توسط پزشک، می‌توان برنامه درمانی هدفمندی برای درمان التهاب لثه در مشهد تنظیم کرد.

روش‌های مختلف درمان التهاب لثه

درمان التهاب لثه بسته به شدت بیماری و علت آن متفاوت است. در مراحل ابتدایی، جرم‌گیری و رعایت دقیق بهداشت دهان کافی است. جرم‌گیری باعث حذف پلاک‌های سخت و باکتری‌ها از سطح دندان و زیر لثه می‌شود. در برخی موارد از روش روت پلنینگ (صاف کردن سطح ریشه دندان) برای جلوگیری از تجمع مجدد باکتری‌ها استفاده می‌شود.

در موارد پیشرفته‌تر، درمان‌های تخصصی‌تری مورد نیاز است. یکی از این روش‌ها، استفاده از لیزر برای حذف بافت‌های ملتهب و استریل کردن پاکت‌های لثه‌ای است. لیزر درمانی باعث کاهش خونریزی، تسریع روند بهبود و کاهش نیاز به جراحی‌های تهاجمی می‌شود. علاوه بر آن، درمان دارویی شامل استفاده از آنتی‌بیوتیک‌ها، دهان‌شویه‌های تخصصی و در مواردی جراحی‌های کوچک لثه برای بازگرداندن سلامت بافت‌ها انجام می‌گیرد. استفاده از این روش‌ها در کلینیک‌های تخصصی مشهد، امکان درمان التهاب لثه در مشهد را به شکلی علمی، دقیق و کم‌عارضه فراهم کرده است.

مقایسه روش‌های سنتی و مدرن درمان

در گذشته، درمان التهاب لثه عمدتاً به جرم‌گیری ساده و در صورت نیاز جراحی باز محدود می‌شد. این روش‌ها هرچند مؤثر بودند، اما معمولاً با درد، خونریزی و دوران نقاهت طولانی همراه بودند. در سال‌های اخیر، ورود فناوری‌های نوین مانند لیزر و ابزارهای اولتراسونیک باعث تحول در روش‌های درمانی شده است.

امروزه بسیاری از بیماران می‌توانند بدون نیاز به جراحی‌های سنگین، با حداقل ناراحتی، درمان خود را انجام دهند. متخصصان در مشهد نیز با بهره‌گیری از این تکنولوژی‌ها توانسته‌اند کیفیت خدمات را ارتقا دهند و رضایت بیماران را جلب کنند. تفاوت اصلی این دو رویکرد در میزان تهاجم، سرعت بهبود و راحتی بیمار است؛ در روش‌های مدرن، مراجعه‌کنندگان معمولاً همان روز می‌توانند به فعالیت‌های روزمره بازگردند.

هزینه درمان التهاب لثه در مشهد و عوامل مؤثر بر آن

هزینه درمان التهاب لثه به عوامل متعددی بستگی دارد. شدت بیماری، روش درمانی مورد استفاده، نیاز به جراحی یا درمان‌های لیزری، و تعداد جلسات مراجعه از مهم‌ترین عوامل هستند. معمولاً درمان‌های ساده مانند جرم‌گیری هزینه کمتری دارند، اما در صورت نیاز به لیزر درمانی یا جراحی‌های تخصصی، هزینه‌ها افزایش می‌یابد. همچنین نوع کلینیک و تجهیزات مورد استفاده، سابقه و تخصص پزشک، و موقعیت جغرافیایی مطب نیز بر هزینه نهایی مؤثر است. با این حال، باید توجه داشت که درمان التهاب لثه در مشهد یک سرمایه‌گذاری برای حفظ سلامت دندان‌هاست و بی‌توجهی به آن می‌تواند هزینه‌های سنگین‌تری در آینده به دنبال داشته باشد.

نکات مهم قبل از مراجعه به متخصص

قبل از مراجعه به متخصص برای درمان التهاب لثه، رعایت چند نکته مهم می‌تواند روند درمان را آسان‌تر کند. بیماران بهتر است شرح حال کاملی از علائم، سابقه پزشکی و داروهای مصرفی خود آماده کنند. همچنین بهتر است چند روز قبل از مراجعه، رعایت دقیق بهداشت دهان را در برنامه روزانه خود قرار دهند تا وضعیت لثه‌ها قابل ارزیابی دقیق‌تر باشد. انتخاب پزشک متخصص و مورد اعتماد اهمیت ویژه‌ای دارد؛ چراکه درمان‌های غیرتخصصی یا ناقص نه‌تنها مشکل را حل نمی‌کنند، بلکه ممکن است باعث تشدید التهاب شوند. دکتر احسان کریمی با تجربه قابل توجه در درمان بیماری‌های لثه، یکی از گزینه‌های قابل اعتماد برای درمان التهاب لثه در مشهد محسوب می‌شود.

روند درمان و پیگیری‌های پس از آن

روند درمان معمولاً طی چند مرحله انجام می‌شود. در جلسه نخست، معاینه و تشخیص دقیق انجام می‌گیرد. سپس جرم‌گیری و پاک‌سازی اولیه صورت می‌گیرد. در صورت نیاز، درمان‌های لیزری یا جراحی محدود انجام می‌شود. پس از اتمام درمان، پزشک توصیه‌هایی برای مراقبت در خانه ارائه می‌دهد که شامل نحوه صحیح مسواک زدن، استفاده از دهان‌شویه‌ها و رعایت رژیم غذایی مناسب است.

بهترین متخصص درمان التهاب لثه در مشهد کیست؟

پیگیری‌های منظم پس از درمان اهمیت زیادی دارند؛ چراکه در این جلسات، وضعیت لثه‌ها مجدداً بررسی می‌شود و در صورت مشاهده علائم بازگشت التهاب، اقدامات پیشگیرانه انجام می‌گیرد. بسیاری از بیماران پس از درمان التهاب لثه در مشهد با رعایت توصیه‌های پزشک توانسته‌اند سلامت لثه‌های خود را برای مدت طولانی حفظ کنند.

سخن پایانی

سلامت لثه بخش مهمی از سلامت دهان و دندان است و نباید نادیده گرفته شود. التهاب لثه اگر به موقع تشخیص داده و درمان شود، قابل کنترل و بهبود است؛ اما در صورت بی‌توجهی می‌تواند پیامدهای جبران‌ناپذیری داشته باشد. انتخاب پزشک مناسب، تشخیص دقیق و درمان علمی سه رکن اصلی موفقیت در درمان این بیماری هستند.

حضور متخصصانی مانند دکتر احسان کریمی در مشهد این امکان را برای بیماران فراهم کرده است تا خدمات حرفه‌ای و به‌روز را در محیطی مطمئن دریافت کنند. مراجعه به موقع به متخصص برای درمان التهاب لثه در مشهد نه‌تنها باعث حفظ سلامت لثه و دندان‌ها می‌شود، بلکه از بسیاری مشکلات دهانی و سیستمیک دیگر نیز جلوگیری خواهد کرد.

دکتر احسان کریمی انواع خدمات دندانپزشکی شامل ایمپلنت‌ و پروتزهای متکی بر ایمپلنت، درمان ریشه دندان، ترمیمی و زیبایی، پروتزهای ثابت و متحرک، ونیر کامپوزیت و لمینت های سرامیکی و خدمات دندانپزشکی اطفال را با تجربه و دانش روز و بهره گیری از تکنولوژی های روز دندانپزشکی به بیماران ارائه می‌دهند.

ثبت نظرات
نظر شما با موفقیت ثبت شد.
Hurray! Your have successfully entered the captcha.

تمامی حقوقی مادی و معنوی برای دکتر احسان کریمی محفوظ می باشد. طراحی سایت و سئو توسط وب راین