دکتر احسان کریمی ، دندانپزشک و ایمپلنتولوژیست در مشهد
دکتر احسان کریمی انواع خدمات دندانپزشکی شامل ایمپلنت و پروتزهای متکی بر ایمپلنت، درمان ریشه دندان، ترمیمی و زیبایی، پروتزهای ثابت و متحرک، ونیر کامپوزیت و لیمینت های سرامیکی و خدمات دندانپزشکی اطفال را با تجربه و دانش روز و بهره گیری از تکنولوژی های روز دندانپزشکی به بیماران ارائه میدهند.
دکتر احسان کریمی را بیشتر بشناسید
دکتر احسان کریمی متولد تیرماه ۱۳۶۴ در شهر مشهد است. وی پس از فارغالتحصیلی از دبیرستان سمپاد مشهد، در کنکور تجربی سال ۱۳۸۳ شرکت کرد و در رشته دندانپزشکی دانشگاه علوم پزشکی رفسنجان پذیرفته شد.
او به مدت ۶ سال در این رشته و در مقاطع علوم پایه، پریکلینیک و کلینیک مشغول به تحصیل بود و در سال ۱۳۸۹ از این دانشگاه فارغالتحصیل شد. پس از اتمام دوران تحصیل، دکتر کریمی دوره خدمت سربازی خود را گذراند و سپس فعالیت حرفهای خود را در کلینیک آغاز کرد. پس از مدتی، او مطب شخصی خود را راهاندازی کرد و همچنان در زمینه دندانپزشکی مشغول به کار است.
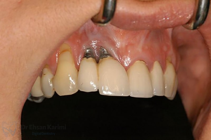
ایمپلنت دندان
ایمپلنت دندان، یکی از پیشرفتهترین و محبوبترین روشها برای جایگزینی دندانهای از دست رفته به شمار میرود.
پروتز ثابت و متحرک دندان
پروتزهای دندان انواع مختلفی دارند، از جمله پروتزهای ثابت و متحرک، که بسته به وضعیت دندانهای بیمار و تشخیص دندانپزشک انتخاب میشوند.
عصب کشی دندان
درمان ریشه دندان یا عصبکشی، روشی است که برای نجات دندانهای آسیبدیده یا عفونیشده استفاده میشود
پروتز پارسیل چیست؟
پروتز پارسیل دندان(Partial Denture) یکی از روشهای رایج و مقرونبهصرفه برای جبران دندانهای از دست رفته است، پروتز پارسیل نوعی دندان مصنوعی است که برای افرادی استفاده میشود که بخشی از دندانهای خود را از دست دادهاند اما هنوز تعدادی دندان طبیعی سالم در دهان دارند. این پروتز جای خالی دندانهای ازدسترفته را پر میکند و روی دندانهای باقیمانده یا لثه قرار میگیرد.
20 بهمن 1404
ترمیم سه سطحی دندان چیست؟
ترمیم سه سطحی دندان یکی از روشهای پیشرفته دندانپزشکی است که برای بازسازی دندانهایی با آسیب یا پوسیدگی گسترده استفاده میشود. در این نوع ترمیم، سطحهای مختلف دندان معمولاً سطح جونده و دو سطح جانبی بهطور همزمان درمان میشوند تا استحکام و زیبایی دندان حفظ شود. این روش به ویژه برای دندانهای آسیاب یا پرمولر مناسب است که فشار زیادی را در هنگام جویدن تحمل میکنند. ترمیم سه سطحی نهتنها عملکرد طبیعی دندان را بازمیگرداند، بلکه از پیشرفت پوسیدگی جلوگیری کرده و ظاهر دندان را نیز به شکل طبیعی بازسازی میکند، بدون اینکه دندانهای اطراف آسیب ببینند.
08 بهمن 1404
ایمپلنت دو دندان کنار هم چگونه انجام می شود؟
ایمپلنت دو دندان کنار هم یکی از روشهای پرکاربرد و مؤثر در درمان نواقص دندانی است که برای جایگزینی دو دندان به صورت همزمان و حفظ سلامت استخوان فک اجرا میشود. با توجه به اهمیت ایمپلنت در بهبود زیبایی، عملکرد جویدن و سلامت دهان، در این مقاله قصد داریم تمامی مراحل، نکات تخصصی، مزایا، عوارض احتمالی و مراقبتهای پس از درمان ایمپلنت دو دندان کنار هم را به شکل کاملاً دقیق و علمی توضیح دهیم.
07 بهمن 1404
پونتیک دندان چیست؟ انواع پونتیک + مزایا و معایب
از دست رفتن یک یا چند دندان، تنها یک مشکل ظاهری نیست؛ این اتفاق میتواند جویدن، صحبت کردن و حتی سلامت لثه و دندانهای مجاور را تحتتأثیر قرار دهد. در چنین شرایطی، پونتیک دندان بهعنوان بخش جایگزین دندان ازدسترفته در بریج دندانی، نقش مهمی در بازگرداندن عملکرد و زیبایی دهان ایفا میکند. با این حال، همه پونتیکها یکسان نیستند و نوع طراحی آنها تأثیر مستقیمی بر بهداشت لثه و نتیجه نهایی درمان دارد. انتخاب گزینه مناسب نیازمند بررسی دقیق شرایط دهان و تشخیص اصولی دندانپزشک است تا درمانی ایمن، ماندگار و متناسب با نیاز بیمار انجام شود.
09 دی 1404